This page is exclusively for surgeons and hospitals.

Degenerative Disc Disease L4-L5

Degenerative Disc Disease

Dr. med. Alessandro Rustia

Klinikum Ansbach

Dept. Neurosurgery - Ansbach / Germany

Pre OP

Patient Information:

35-year-old male patient bodybuilder with chronic low back pain (LBP) and a recent history of motor vehicle accident. Left lower extremity radicular pain.
  • Height: 71.0 in/1.80 m
  • Weight: 250 lbs/113 kg
  • BMI: 34.9 / BSA: 2.3

Diagnoses:

  1. L4/5 disc herniation
  2. Bilateral foraminal stenosis with retrolisthesis and instability on flexion-extension view
  3. No radiculopathy

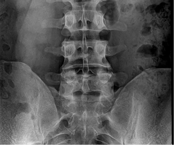
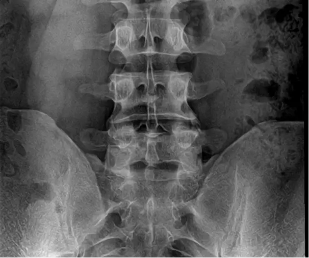
Pre OP radiographs, frontal and sagittal views

Intra OP

OR-strategy:

Intra OP radiograhs for the planning of the surgical access.
  • Thoraco-Lumbar Interfascial Plane (TLIP) block, injection of local anesthetics, in L3 - L4.
  • L4/5 minimally invasive TLIF - left, to be performed as an outpatient procedure in the ASC.
  • Planning to use the Neo Cage System ™ & Neo Pedicle Screw System™ for fusing the segment L4/5
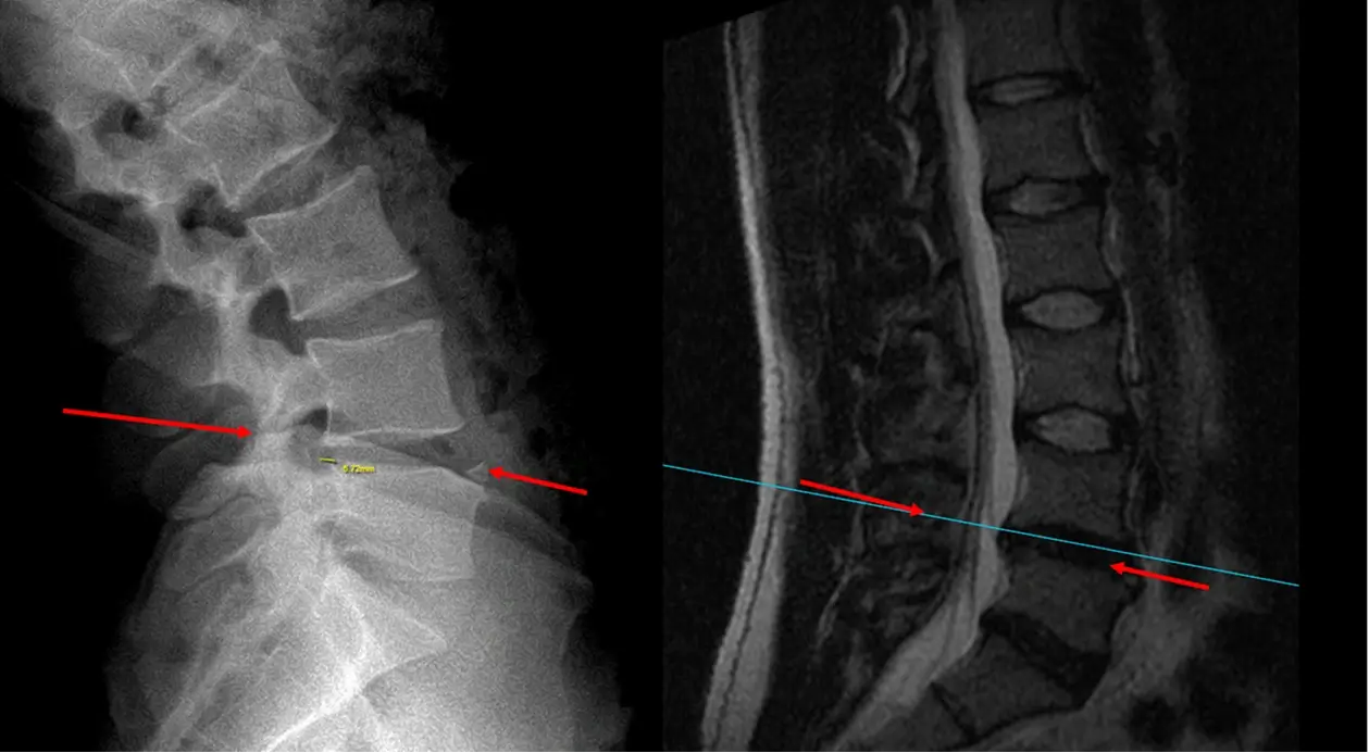
Pre OP MRI and radiograph sagittal view
Pre OP radiographs, frontal and sagittal views

Placement of the Neo Cage

After the placement of the Neo cage, another 2 Neo pedicle screwswere inserted at the left side,
  • L4: Ø6.0x45 mm
  • L5: Ø6.0x45 mm

2 X titanium rods, straight 40mm/45mm, were placed.

Correction will be applied by the integrated reduction threads and spreading the correction forces over the whole construct. This is reinforced to the usage of monoplanar screws in the apex of the curv
2 X titanium rods, straight 40mm/45mm, were placed.
Post OP

Post OP results

After both sides have been tightened, the coronal alignment can be further restored by the use of the monoplanar screw guides to derotate the spine.
  • Thoraco-Lumbar Interfascial Plane (TLIP) block, injection of local anesthetics, in L3 – L4.
  • L4/5 minimally invasive TLIF - left, to be performed as an outpatient procedure in the ASC.
  • Planning to use the Neo Cage System ™ & Neo Pedicle Screw System™ for fusing the segment L4/5
Pre OP Post OP
Cobb Angle 50* 9
Thoracic Kyphosis -5 12.5
Lumbar Lordosis 47.3* 45.5*
Pre OP MRI and radiograph sagittal view
Pre OP radiographs, frontal and sagittal views
Pre OP radiographs, frontal and sagittal views